г. Пермь, Комсомольский проспект, 15в 9
Ежедневно с 09.00 до 21.00
г. Пермь, Комсомольский проспект, 15в 9
Ежедневно с 09.00 до 21.00
Рассрочка 0% на 12/24/36 месяцев и льготы пенсионерам
Протезирование зубов в нашей клинике
доступно всем!
доступно всем!
Анатомически точный протез —
выглядит и ощущается как собственные зубы
выглядит и ощущается как собственные зубы
ориентируясь на индивидуальные особенности вашего случая
особые, бережные условия!
Для пациентов пенсионного возраста
Подготовим полный расчёт стоимости и зафиксируем цену
Скидка до 40%
Все зубы
сразу за 1 день
сразу за 1 день
на протезы любой сложности
Высокая биосовместимость материалов
Уже в первый день после установки протеза
+ КТ-снимок и полная 3D-диагностика
Бесплатная консультация ведущего врача
Без риска аллергии
Не смещаются, не натирают и не вызывают дискомфорта
Не требуется дорогостоящее наращивание
Сможете есть любую еду
Надёжная фиксация и комфорт
Протезы подходят идеально с первой примерки
костной ткани и синус-лифтинг
Без долгих подгонок и повторных визитов
Живите без ограничений!
Улыбайтесь без стеснения, ешьте без страха
Работаем с сертификатом от Правительства Пермской обл. на изготовление протезов
Скидка при полной оплате
плана лечения
плана лечения
Возврат НДФЛ 13%
от стоимости лечения
от стоимости лечения
Новое поколение зубных протезов
с супер-фиксацией
Полное восстановление жевательной функции. Естественная речь и внешний вид зубов. Комфортное ношение благодаря надёжной фиксации.
Получите протезирование
с приживаемостью 99,8% у экспертов мирового уровня
Гарантия на работу врача
в 10 раз больше, чем по Минздрав
в 10 раз больше, чем по Минздрав
Импланты с гарантией 100 лет:
7 систем под ваш случай и возможности
7 систем под ваш случай и возможности
Углубленная диагностика
костей и мягких тканей челюсти
костей и мягких тканей челюсти
Ускоренное приживление
за счёт точной установки
до 0,1 мм
за счёт точной установки
до 0,1 мм
Постоянно совершенствует свои знания и активно участвует в стажировках и международных семинарах по всему миру.
Большой профессиональный опыт делает Вячеслава Александровича уникальным и востребованным экспертом в своей области.
Большой профессиональный опыт делает Вячеслава Александровича уникальным и востребованным экспертом в своей области.
Стоматолог хирург-имплантолог
Опыт работы 16 лет
Опыт работы 16 лет
Лихачев Вячеслав Александрович
Современная цифровая лаборатория – ключевое отличие от многих клиник
Анатомическая точность
Используются цифровые технологии для идеального прилегания протеза с 1 раза без натирания
Используются цифровые технологии для идеального прилегания протеза с 1 раза без натирания
Скорость
Вы получите протез в кратчайший срок
Вы получите протез в кратчайший срок
Экономия
Не переплачиваете сторонним зуботехническим лабораториям за изготовление протезов
Не переплачиваете сторонним зуботехническим лабораториям за изготовление протезов
Вы получаете протез, который не выпадает, не натирает и не мешает дикции.
На вид не отличить от родных зубов
На вид не отличить от родных зубов
* каждый план лечения разрабатывается индивидуально и зависит
от множества
факторов в
конкретном
случае
от множества
факторов в
конкретном
случае
* каждый план лечения разрабатывается индивидуально и зависит от множества факторов в конкретном случае
Скидка до 40%
Профосмотры каждые пол года — 0 ₽
3D-диагностика интраоральной камерой — 0 ₽
КТ-снимок с расшифровкой — 0 ₽
Консультация ведущего врача и план лечения — 0 ₽
Ответьте на 4 вопроса, чтобы получить в подарок:
Рассчитайте стоимость
и закрепите цену
с максимальной скидкой
Присоединяйтесь к числу довольных пациентов нашей клиники и забудьте о проблемах с зубами!
Высокоточная навигационная хирургия
Применяем инновационный плазмолифтинг доя ускоренного заживления
3D-цифровое моделирование улыбки с точностью до 0,01мм
Современная зуботехническая CAD/CAM лаборатория
Передовые методы диагностики всей полости рта
Возвращаем улыбку пациентам с сахарным диабетом, атрофией костной ткани и пародонтозом
Мы найдём решение даже для случаев, когда другие клиники отказываются
пациент клиники «Профклиник»
* подробности БЕСПРОЦЕНТНОЙ РАССРОЧКИ БЕЗ ПЕРЕПЛАТ уточняйте у администратора
Протезирование зубов в РАССРОЧКУ без переплат!
НОВЫЕ ЗУБЫ СЕЙЧАС -
ОПЛАТА ПОТОМ
Сразу можно есть любую еду
Подходят с первого раза без переделок
Новые зубы не выпадают, не натирают
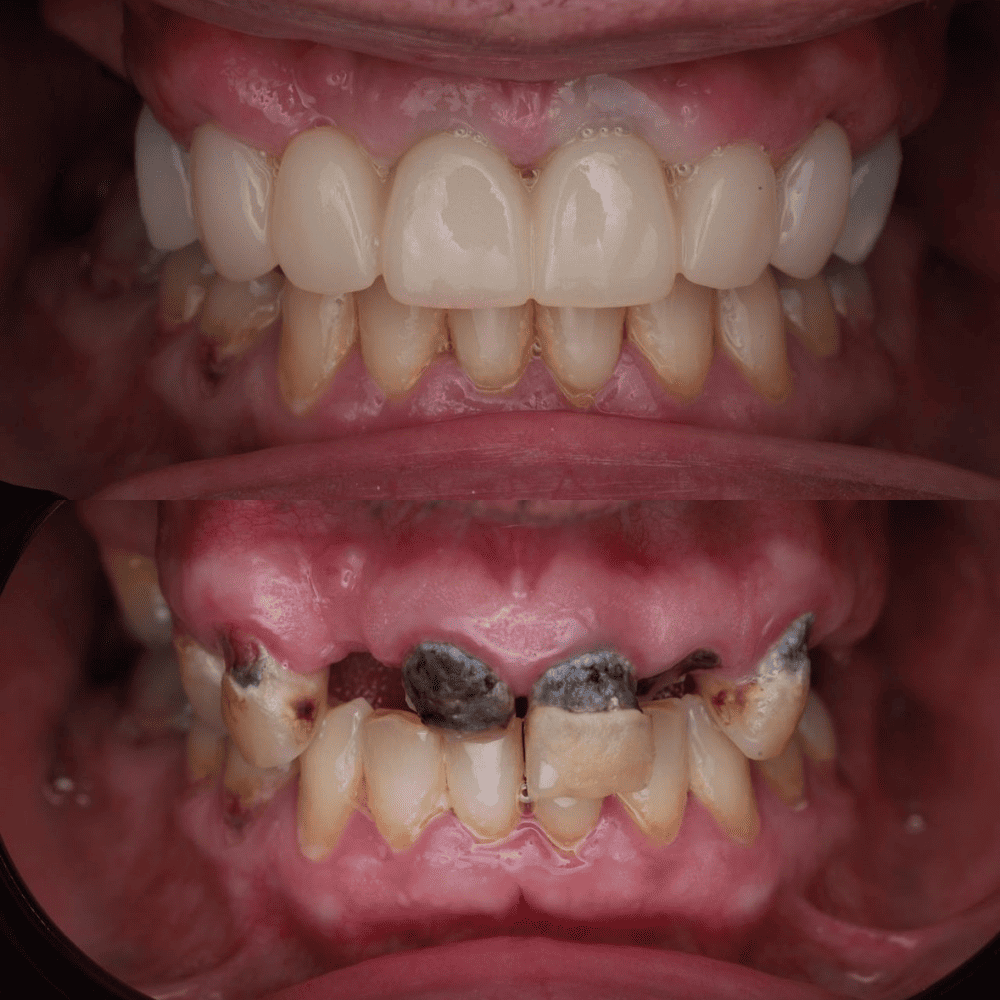
Пациент клиники ДО / ПОСЛЕ тотального протезирования
✅ Крепкие, здоровые зубы, жевание любых продуктов
❌ Трудности с жеванием, частые зубные боли
и сможете есть даже твёрдую пищу!
Вы вернёте все зубы за 1 день
Качественное лечение доступно каждому!
а счастливые пациенты - наша главная мотивация и самая высокая награда:
Направления: терапия, хирургия, ортопедия, имплантация и гигиена полости рта
Компьютерная томография (КТ)
Интраоральная 3D-камера
Бесплатно!
Только 10 дней у вас есть возможность
записаться на обследование
записаться на обследование
Успейте воспользоваться
нашим уникальным предложением
нашим уникальным предложением